Dallas Veterinary Surgical Center

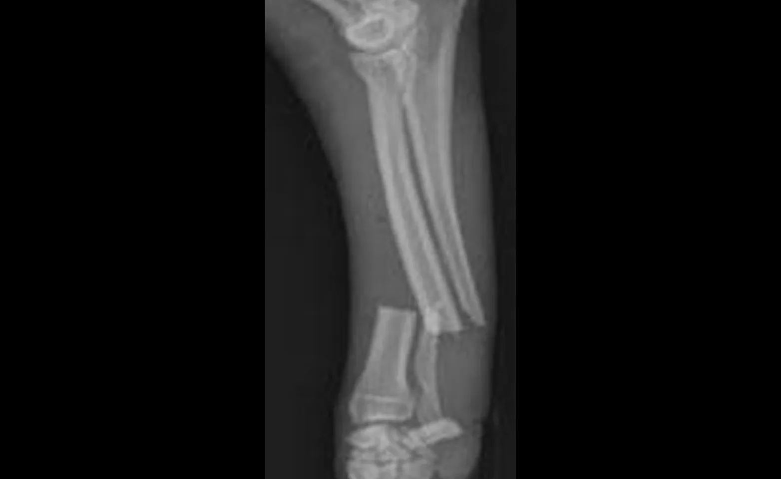
The distal radius and ulna of toy breed dogs has been shown to have a higher than normal incidence of abnormal healing of the bone following fracture repair.

Placement of a cast or splint alone or combined with an IM pin does not provide for rotational stability and has a high incidence of brous nonunion formation. Ideally, the fracture segments should be anatomically reduced and stabilized with a plate and screws.
At the DVSC, we often use mini plates and screws to repair these fractures. The small plates minimize the chance for stress protection of the bone and reduce the need for implant removal. However, because of the small size of the plates, we provide splint support for the first four weeks postoperatively to minimize the chance for implant failure. With surgical application of the plate and screws, the incidence of abnormal bone healing is low.
